Bakın Corona Virüsü akciğerde nasıl yayılıyormuş
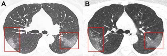
Çinli doktorlar, Radiology dergisinde, Çin’in Lanzhou kentinde 39 derece ateşle hastaneye kaldırılan 33 yaşındaki bir kadının bilgisayar tomografisini paylaştı.
En son gelen rakamlara göre 491 kişinin ölümüne sebep olan Corona Virüsü ( Korona virüsü) için tedavi ve aşı çalışmalar devam etmekte. Çinli doktorlar, Radiology dergisinde, Çin’in Lanzhou kentinde 39 derece ateşle hastaneye kaldırılan 33 yaşındaki bir kadının bilgisayar tomografisini paylaştı.

İlk filmde, ‘buzlu cam efekti’ yaratan bir bulanıklık gözlemleniyor. Üç gün sonra yapılan ikinci filmde, etkilenen bölgenin genişlediği gözlemlenmekte.
Radiology dergisindeki yayında ; “Epidemiyolojik özellikler, klinik bulgular, göğüs görüntüleri ve laboratuvar verilerine dayanılarak 2019-nСоV pnömoni tanısı kondu” şeklinde bir açıklama yapıldı.

Corona Virüsü ile ilgili bugüne kadar neler yaşanmıştı? (Güncel Sayılar)
Google Hubey eyaletine bağlı Vuhan kentinde ilk olarak 12 Aralık 2019 tarihinde tespit edilen ölümcül yeni tip koronavirüs salgını ile ilgili Çin’de koronavirüse yönelik bilimsel çalışmalar hızlanmış, virüsün genetik dizininin Çin'e özgü yarasa ve yılan türlerinden kaynaklandığına dair sonuçlar elde edilmiş, salgın sona erinceye kadar ülkede yabani hayvan ticareti yasaklanmıştı.
Virüs, Çin ana karası dışında Hong Kong ve Makao özel idari bölgeleri ile Tayvan’da görülürken bölge ülkeleri Tayland, Güney Kore, Japonya, Singapur, Vietnam, Malezya, Kamboçya, Sri Lanka, Filipinler, Hindistan ve Nepal de ülkelerinde virüsü taşıyan kişilerin olduğunu doğrulamıştı.
Koronavirüs, çoğunlukla Çin’den bu ülkelere giden kişiler yoluyla Fransa, Kanada, İtalya, İspanya, Rusya, İsveç, ABD, Avustralya, Birleşik Arap Emirlikleri, Finlandiya ve Almanya’ya da sıçramıştı.
Ülkede bugün itibarıyla can kaybı 132'ye, virüs bulaşan hasta sayısı 24.324, müşahede altındaki hasta sayısı 185.555’e çıktı.
Son 24 saatte ise 65 can kaybı yaşandığı açıklanan rakamlar arasında.
CORONA VİRÜSÜ NASIL BULAŞIYOR? İLK BELİRTİLERİ NELERDİR?
İnsandan insana bulaşan yeni tip koronavirüs; solunum, hapşırma ve öksürme durumlarında hava yoluyla bulaşıyor. İlk belirtileri yüksek ateş, boğaz ağrısı, öksürük, nefes darlığı, solunumda zorluk ve ishal.
İleri safhalarında ise zatürre ve böbrek yetmezliğine sebep olan virüs, son evrelerde ölümle sonuçlanabiliyor.
Siyasetcafe.com
Türkçe karakter kullanılmayan ve büyük harflerle yazılmış yorumlar onaylanmamaktadır.