Tomografi görüntülerine yansıdı! Korona akciğeri bu hale getiriyor
Tüm dünyayı etkisi altına alan koronavirüste tedavi gören hastalara ait akciğer görüntüleri ortaya çıktı.
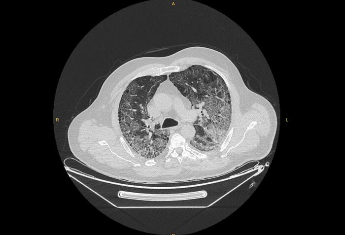
Tüm dünyayı etkisi altına alan ve ölümlere sebep olan yeni tip koronavirüs (Kovid-19) en çok akciğerleri etkiliyor.
Anadolu Ajansı (AA) Ankara Şehir Hastanesinde Kovid-19 tedavisi gören hastalara ait akciğer görüntülerine ulaştı. Görüntülerde, hastalığın ne kadar hızlı ilerlediği ve akciğerleri nasıl tuttuğu ortaya çıktı.
Ankara Şehir Hastanesi Göğüs Hastalıkları Kliniği İdari ve Eğitim Sorumlusu Prof. Dr. Ayşegül Karalezli, AA muhabirine yaptığı açıklamada, salgının son hızıyla devam ettiğini belirterek, "Mart, nisan, mayıs ayında gördüğümüzden daha şiddetli ve daha hızlı sanki, çember daha çok daraldı. Etrafımızda bize yakın insanların kovid pozitif ve akciğer tutulumu ile geldiğini görüyoruz." ifadesini kullandı.

Koronavirüs testi pozitif çıkan birçok kişinin, akciğer tutulumuyla başvurduğunu anlatan Karalezli, şunları söyledi:
"Bu durum, hepimizi endişelendiriyor. Hastanelerin kapasitesi belli. Bu kapasitelerin üzerine çıkan bir hasta sayısı olursa ne yapacağımızı hepimizin düşünmesi lazım. İnsanların çok dikkatli olması gerekiyor. Korunmaya çok dikkat edilmeli. 'Maske, mesafe ve hijyen' diyoruz ama insanlar görüyoruz ki bunun çok farkında değiller. Önemsemiyorlar ama biz çok önemsiyoruz."
"AKCİĞERE GİRİNCE ÇIKIŞI KOLAY OLMUYOR"
Prof. Dr. Karalezli, koronavirüsün akciğerleri etkilediği durumda, nefes almanın çok zor olduğunun altını çizerek, halen hastaneye başvuranların da son derece ciddi akciğer tutulumlarının olduğuna vurgu yaptı.
Normalde insanların oksijen seviyelerinin yüzde 98 olduğunu ifade eden Karalezli, koronavirüse yakalananlarda oksijen seviyenin yüzde 70'lere kadar düştüğünü belirtti. Bu durumdaki hastaların oksijen seviyelerini değişik makinalar ve yüksek akım oksijen cihazlarıyla düzeltmeye çalıştıklarını anlatan Karalezli, diğer zatürre durumlarında bu kadar ciddi oksijen düşüklüğü görülmediğine işaret etti.

Prof. Dr. Karalezli, koronavirüsün çok farklı bilinmeyen yönü olduğuna dikkati çekerek, şu uyarıları yaptı:
"İnsanların çok dikkat etmesini istiyoruz. Akciğere girdi mi bunun çıkışı kolay olmuyor. Altta yatan hastalığı varsa biraz ileri yaştaysa çok riskli. Şu an bizim takip ettiğimiz hasta yaş aralığı 40-60 yaş arası. Gençlerde hastalığın seyri çok hızlı gidiyor. Koronavirüs tüm organları tutabiliyor. Akciğer tutulumu varsa tablo kaçınılmaz olarak ilerliyor. İnsanların son derece duyarlı olmasını istiyoruz. Bizler çok yorulduk. Kovid hastalarıyla uğraşıyoruz bakmamız gereken diğer hastalarımız da var. Onlar da sürekli randevu almaya çalışıyorlar."
YOUTUBE KANALIMIZA ABONE OLMAYI UNUTMAYIN!
Siyasetcafe.com
Türkçe karakter kullanılmayan ve büyük harflerle yazılmış yorumlar onaylanmamaktadır.